1650362154466972138

从原理到应用:显微镜光学系统的样品适配性分析

2025年12月22日

显微镜光学系统的性能优化不仅取决于仪器本身的技术参数,更依赖于光学模式与样品特性的精准匹配。本文基于不同观察模式的光学原理,结合实际科研场景中的操作数据,系统探讨明场、暗场、相差、微分干涉相差、偏光及荧光等模式在各类样品观察中的适配逻辑,以期为科研工作者提供可操作的设备使用范式。

 

一、明场观察:适用于高对比度染色样品

       明场显微镜是最基础的观察模式,其成像依赖于样品对光线的吸收差异。该模式对未经染色的透明样品(如活细胞、未染色组织切片)分辨率有限,但却是染色样品的标准观察方式。

· 适配样品类型

1. 苏木精-伊红(H&E)染色的组织切片

2. 革兰氏染色的微生物涂片

3. 吉姆染色的血细胞标本 

17661317713433432.png

· 操作要点

1. 切片厚度需控制在3-5μm,过厚会导致光线散射降低对比度

2. 推荐使用平面消色差物镜(如Leica N PLAN 40×/0.65)以减少色差

3. 可搭配蓝色滤光片增强苏木精染色区域的对比度


二、暗场观察:揭示微小折射率差异结构

暗场模式通过环形光阑屏蔽直射光,仅收集样品散射的光线,适用于观察折射率差异微小的未染色样品。

· 适配样品类型

1. 螺旋体、细菌鞭毛等亚显微结构

2. 硅藻、浮游生物等微体化石

3. 纳米材料悬浮液中的颗粒分布

 

暗场里高立体度的单细胞生物.jpg


· 操作要点

需使用抛物面聚光镜(如Zeiss Ultracondenser)产生中空锥形照明

载玻片厚度需严格匹配聚光镜设计参数(通常为1.0-1.2mm)

样品浓度需优化,过高浓度会导致多重散射形成光晕


三、相差观察:透明生物样品的首选

相差显微镜将光程差转换为振幅差,特别适用于观察未经染色的活体样品。

· 适配样品类型

1. 贴壁培养的活细胞动态过程(如分裂、迁移)

2. 微生物悬液中的形态学观察

3. 植物表皮细胞液泡变化

 

明场彩色俯视拍图.jpg


· 操作要点

需严格匹配物镜的相差环与聚光镜的环形光阑(如Olympus Ph1/Ph2/Ph3)

推荐使用长工作距离物镜(如Nikon ELWD 20×/0.4)观察培养皿中的细胞

培养液厚度需控制在2mm以内,避免光程差过大导致相位反转


四、微分干涉相差(DIC):三维表面形貌重构

DIC利用偏振光干涉原理,将样品折射率梯度转换为伪三维图像,适用于观察表面精细结构。

· 适配样品类型

1. 细胞器边界、膜结构等亚细胞结构

2. 材料表面微纳级刻痕

3. 晶体生长界面动力学

骨骼切面三维重构建.jpg


· 操作要点

需使用诺马斯基棱镜与偏振片组件(如Zeiss DIC III)

样品需具有光学各向异性,各向同性材料需进行表面处理

物镜数值孔径应>0.8以获得最佳剪切效果


五、偏光观察:晶体与有序结构的分析

偏光显微镜通过分析样品对偏振光的作用,揭示材料的有序结构特征。

· 适配样品类型

1. 矿物薄片的光学性质鉴定

2. 高分子材料的结晶形态

3. 骨骼、牙齿等生物矿化组织

 

黄长石晶体的高炉炉渣.jpg


· 操作要点

需使用应变消光物镜(如Olympus UPLFLN-P)避免自身双折射干扰

样品厚度需控制在30μm以下以获得清晰干涉色

推荐使用λ补偿片(如石膏试板)增强弱双折射样品的对比度


六、荧光观察:特异性标记结构的定位

荧光显微镜利用特定波长激发荧光物质发光,实现分子级别的特异性观察。

· 适配样品类型

1. 免疫荧光标记的蛋白定位

2. GFP标记的转基因生物

3. FISH染色的染色体结构

 

荧光观察法染色样彩照.jpg


· 操作要点

需严格匹配激发滤光片/二向色镜/发射滤光片组合(如Chroma 49002 ET-EGFP)

高数值孔径物镜(如Nikon CFI Apo 60×/1.49)可提升荧光收集效率

推荐使用抗淬灭封片剂(如ProLong Diamond)延长观察时间

 

七、多模态联用策略示例

现代显微镜常集成多种观察模式,以下为典型联用方案:

1. 细胞骨架研究方案

先用DIC观察细胞整体形态

切换荧光观察F-actin(鬼笔环肽标记)

使用共聚焦Z-stack功能重构三维分布

 

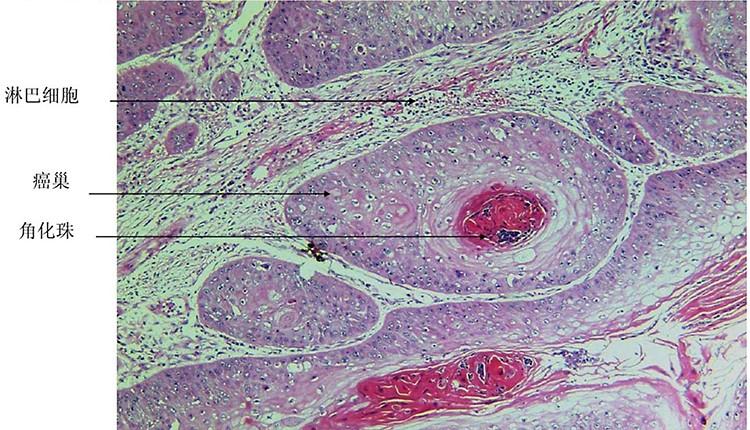
癌细胞.jpg


2. 病理切片分析方案

明场观察H&E染色整体结构

荧光多色标记观察特定生物标志物

使用图像配准软件进行多模态数据融合

显微镜光学模式的选择本质上是光子与样品相互作用的精细化调控。科研工作者应在充分理解样品光学特性的基础上,结合实验目标(形态观察、动态追踪、定量分析等),构建“样品-模式-物镜-照明”的协同优化体系。随着计算光学与智能算法的深度融合,未来显微镜将逐步从“通用观察工具”进化为“智能光学分析系统”,为科学研究提供更深层次的洞察能力。

17661323502830368.png17645828173578397_thumb.jpg

上一篇:浅谈显微镜光学系统在不同观察模式中的样品适配性
返回
下一篇:整合赋能科研:德瑞科仪一站式高端进口实验室设备华南区服务商

联系我们

仪器咨询:139 2234 2821(黄小姐)

仪器咨询:139 2234 8050(龙小姐)

仪器咨询:139 2212 2875(罗小姐)

仪器咨询:153 6177 1410(蔡小姐)

技术售后:139 2210 4902(侯先生)

返回顶部

客服热线

未标题-1
关注微信公众号

友情链接: 中国生物器材网 | 仪表展览网 | 德瑞科仪(广州)科技有限公司 |

德瑞科仪(广州)科技有限公司© All Rights Reserved. 粤ICP备2022043594号