1650362154466972138

流式动态图像法让不溶性微粒分析检测由“计量”走向“识物”

2026年02月26日

在生物制剂(如单抗、重组蛋白)的研发与放行检测中,亚可见微粒(2-100μm)被视为产品质量的关键“指示器”。长期以来,光阻法(Light Obscuration)作为《中国药典》0903章节的经典方法,主导着不溶性微粒的定量检测。然而,随着对免疫原性风险理解的加深以及高浓度制剂的普及,仅仅依靠颗粒的“尺寸”已难以解答“颗粒从何而来”以及“是否具有潜在危害”的深层问题。

流式动态图像法Flow Imaging Microscopy, 以下简称FIM)的崛起,并非要取代光阻法,而是将微粒分析的维度从单一的“物理尺寸”拓展至包含“形貌特征”的二维空间。这种技术范式的转移,正在重新定义我们对药品质量的认知边界。

一、 技术逻辑的颠覆:从“计量”到“识物”

传统光阻法的本质是“计量”——通过遮挡光强来推算粒径,它对颗粒形貌是“盲视”的。而FIM的核心逻辑在于“识物”。

其技术实现路径虽然也依赖流动室,但其精髓在于后续的形态学解构。当颗粒高速流经检测窗口时,FIM系统不仅记录其投影面积以计算等效粒径,更重要的是,它通过图像算法提取一组能够反映颗粒物理本质的特征参数:

轮廓特征(如长径比、凸度):用于区分球形颗粒(如硅油滴、气泡)与非球形颗粒(如纤维、蛋白聚集体)。

表面纹理(如强度比、透明度):帮助识别颗粒是致密的(如碎玻璃)还是胶质状的(如蛋白质凝胶)。

边缘梯度:用于判断颗粒是硬质碎片还是柔软的絮状物。

这种技术逻辑的颠覆性在于,它将传统意义上仅作为“通道”的微粒检测,变成了可追溯的“视觉证据链”,为QA人员在调查OOS(超标)结果时提供了直观的“证词”。

17654251975103277_thumb.jpg 

二、 深层应用场景:破解高浓度制剂与新型辅料的微粒难题

随着生物制药向高浓度、皮下注射方向发展,FIM的应用价值正在从辅助走向核心:

1. 硅油与蛋白的“恩怨情仇”
在预灌封注射器中,硅油是必要的润滑剂,但也是微粒污染的来源之一。FIM能够精准区分“游离硅油滴”和“硅油诱导的蛋白聚集体”。通过分析颗粒的透明度与圆形度,可以判断硅油滴是否引起了蛋白质的界面变性,从而优化硅油喷涂工艺或筛选包材。

2. 蛋白质聚集的“形态预警”
研究表明,蛋白质聚集体的形态可能与其免疫原性风险相关。FIM能够捕捉到颗粒从不溶性球形聚集体向纤维状或簇状结构转变的临界点。这种形态上的突变,往往是制剂稳定性即将崩塌的早期预警,比单纯监测粒径增长更为敏感。

3. 气泡陷阱的智能排除
在灌装过程中,气泡是光阻法检测中常见的干扰源,常导致假阳性结果。FIM通过分析颗粒的透光性与球形度,能够智能地将气泡从蛋白颗粒中识别并剔除,避免了不必要的假阳性调查。

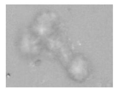
17720903601272354_thumb.jpg17720903606138638_thumb.jpg
                                               硅油滴                                        蛋白聚集体


三、 合规性进阶:从“符合药典”到“理解工艺”

在当前的监管框架下,FIM虽然尚未作为放行检测的独立法,但其数据正在成为支持“质量源于设计”的关键佐证:

1. 突破USP <788> 的局限性
美国药典USP <787> 和 <1787> 章节已经意识到单纯光阻法的不足,并明确引入了流式图像法作为深入表征的手段。这意味着,在申报资料中,除了提供符合ChP 0903的光阻法数据外,额外提交FIM的形态学数据,能够向审评专家证明申请人对产品特性的理解已经超越了传统的计数范畴,达到了“形态学可控”的层次。

2. 方法学的正交验证
在建立新的QC标准或验证除菌过滤工艺时,FIM常作为正交验证工具。例如,当使用光阻法测得过滤前后微粒数无明显变化时,FIM图像可能会揭示:过滤前的小颗粒蛋白聚集体在过滤后变成了少量但体积巨大的凝胶块——这种形态变化仅凭光阻法是无法察觉的,而这恰恰是工艺验证中需要规避的风险。

流式动态图像法正在经历从“研发专用工具”向“QC辅助平台”的演变。它最大的价值在于,将微粒从枯燥的数字重新还原为具体的“影像”,让质量人员能够直观地“看到”工艺的波动和产品的细微变化。在追求更高产品质量和更深入工艺理解的未来,拥有“视觉”的微粒分析技术,将成为生物制药质量控制体系中不可或缺的一环。



上一篇:分析天平与高精天平之间的采购博弈
返回
下一篇:流变仪赋能水凝胶智造:从微观结构到量产精控的精准跃迁

联系我们

仪器咨询:139 2234 2821(黄小姐)

仪器咨询:139 2212 2875(罗小姐)

仪器咨询:153 6177 1410(蔡小姐)

技术售后:139 2210 4902(侯先生)

返回顶部

客服热线

未标题-1
关注微信公众号

友情链接: 中国生物器材网 | 仪表展览网 | 德瑞科仪(广州)科技有限公司 |

德瑞科仪(广州)科技有限公司© All Rights Reserved. 粤ICP备2022043594号